join our practice plan contact us book online
01223 351 260 Book Online join our practice plan contact us

what is invisalign®?

invisalign is a discreet and removable clear aligner system which straightens your teeth in as little as 6 months. It offers a modern alternative to traditional metal brace systems.

invisalign-thumb1

Invisalign®

  • clear, virtually invisible
  • smooth and comfortable
  • removable & easy to clean
  • eat anything you want
invisalign-thumb2

Traditional Braces

  • wires and brackets
  • can decorate with colours
  • colours can be changed at every visit
  • non removable
VS

The treatment journey

Visit 1: Smile Consult

During the smile consult, the dentist will assess your smile and discuss what you want to change. They will capture a digital scan of your teeth and take xrays to check their health. They can show you before and after pictures of similar cases so you can see what you will look like after treatment.

Visit 2: The Clinicheck

At this second visit, the dentist will have planned your case in a greater detail and will be able to share what the process will involve to makeover your smile. This ‘clinicheck’ is a 3D simulation of how your teeth will move during treatment and how they will look after. It will also help by telling you, and us, how many aligners you will need and how long treatment is likely to take.

Visit Three: The Fit

At this third visit, the dentist will give you your aligners and instructions on how to wear them, after which you can take them home and start treatment. From initial consultation to fitting the first aligner, it normally takes 3-4 weeks.

in person consultation

Smile Gallery

Smile Gallery

Smile Gallery

comparison with Invisalign® vs other treatments

other clear aligners

traditional braces

made from SmartTrack material

check

in person consultations with real dentists

check
check

easily removable for eating, drinking & flossing*

check
check

no emergency visits for broken wires

check
check

virtually invisible

check
check

made from traditional brackets and wires

check

each aligner is trimmed to your gum line for optimal comfort and appearance**

check

blue compliance indicator dots to help you stay on track

check

covered by many orthodontic insurance plans

check
check
check

made from SmartTrack material

check

in person consultations with real dentists

check

easily removable for eating, drinking & flossing*

check

no emergency visits for broken wires

check

virtually invisible

check

each aligner is trimmed to your gum line for optimal comfort and appearance**

check

blue compliance indicator dots to help you stay on track

check

covered by many orthodontic insurance plans

check

easily removable for eating, drinking & flossing*

check

no emergency visits for broken wires

check

virtually invisible

check

covered by many orthodontic insurance plans

check

in person consultations with real dentists

check

made from traditional brackets and wires

check

covered by many orthodontic insurance plans

check
in person consultation

six reasons why you should choose us for your Invisalign® treatment

reasons icon

award-winning customer service

reasons icon

free initial consultation

reasons icon

teeth whitening worth £295, included for free

reasons icon

£230 worth of removableretainers, included for free

reasons icon

beautiful teeth in as little as three months, using safe cosmetic braces

reasons icon

why wait? Interest free finance available

in person consultation

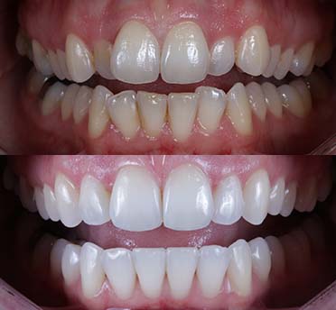
what can Invisalign® fix?

invisalign before after

crowded teeth

crowded teeth is a condition where you do not have enough room for your teeth to fit normally. This can cause plaque or tartar and other harmful bacteria to build up as it is harder for you to brush and floss well.

invisalign before after

gaps between teeth

gaps between teeth is when there is extra space between two or more of your teeth. This can cause pockets between your teeth and gums and can cause food to get stuck making them tender and sore. This might also lead to gum disease.

invisalign before after

open bite

an Open bite is when your upper and lower teeth don't touch when you close your mouth. An open bite can make it hard for you to chew or difficult to bite even the most common of food like apples.

invisalign before after

underbite

an underbite is when you close your mouth and your lower front teeth are in front of your upper teeth. In many cases, this is actually a problem with your lower jaw being too far forward. An underbite can make it hard to chew properly and speak clearly, and it might cause your teeth to wear down more quickly.

invisalign before after

overbite

an overbite is when your upper front teeth overlap with your lower front teeth. Most people have at least a little overbite. When your overbite is too large, your doctor might tell you you have a deep bite. This can cause problems, from your teeth wearing down to pain in your jaw.

invisalign before after

crossbite

a crossbite is when you close your mouth and yet some of your upper teeth are sitting inside your lower teeth rather than on the outside. A crossbite can make your teeth wear down or chip. It can also make your gums start to recede or make little notches above your gum line. This kind of damage can lead to painful gum problems or even bone loss.

in person consultation

Cost of Invisalign® Clear Braces

affordable Invisalign treatment

any people worry about the cost of Invisalign braces, and so we have devised a number of payment plans to help you afford the right treatment with Invisalign.

Invisalign braces from £2.50 per day with our finance options.

Learn More

Invisalign®

from £ 4250
  • free initial consultation
  • free retainers worth £500
  • free teeth whitening worth £395*
book now

FAQs

1. how does it work?

how does it work?

invisalign® works by shifting your teeth a bit at a time through a carefully planned sequence of movements over a period of time. you where each set of aligners for about 7 days, before moving on to the next set – each set moves your teeth a bit more. you work your way through the full set, each pair being numbered so you know the order in which they go. we give you the aligners in small batches and review you regularly to make sure it is all going to plan.

2. is invisalign® right for me?

is invisalign® right for me?

it is suitable for most patients. it is one of the most technologically advanced treatments in the market and is able to straighten even the more complex cases, and our dentists have experience with hundreds of cases between them to be able to provide you with the best support throughout the course of treatment. you have a chance at the clinicheck visit to see how your teeth will move in great detail and know how long it will take from start to finish.

3. why should i choose invisalign® over traditional metal braces?

why should i choose invisalign® over traditional metal braces?

the aligners are much more discreet, almost unnoticeable when worn compared to more traditional brace systems and it is much easier to clean your teeth as they can be removed. you can eat and drink anything you want with them, simply removing them for mealtimes. fixed brace systems do not offer you the same level of freedom.

4. does invisalign® hurt?

does invisalign hurt?

the aligners apply gentle pressure to the teeth to encourage movement and this may lead to some minor discomfort, especially as you start each new aligner, but it is not painful.

5. could my teeth go back to how they were after i complete treatment?

could my teeth go back to how they were after i complete treatment?

we strongly advise that you wear the night-time retainers we provide you with for the rest of your life to prevent the teeth from slipping back into their original position. they are really comfortable to wear and prevent your teeth from slipping out of their new positions. your dentist can provide you with replacement retainers should the old ones wear down.

6. how much does invisalign® cost?

how much does invisalign® cost?

treatment costs from £4250, but the dentist will put together a bespoke plan for you which will give you a full breakdown of costs before you commit to treatment.

7. i am worried about being able to afford it – can you help?

i am worried about being able to afford it – can you help?

yes, we can. we offer easy and flexible finance plans, which can be interest-free to suit you, so the cost of treatment can be made much more manageable. we want to make this as affordable as possible for you so our treatment coordinator can go through all the available finance options available when you come in for your visit.

in person consultation
contact thumb1

contact

get in touch.

to speak with a member of our team to arrange or cancel an appointment or to make an enquiry as a new or existing patient, please get in touch.

contact us book online
Google Rating
4.7