join our practice plan contact us book online
01223 351 260 Book Online join our practice plan contact us

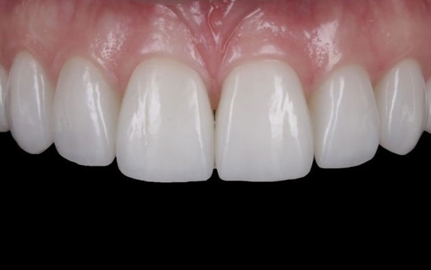
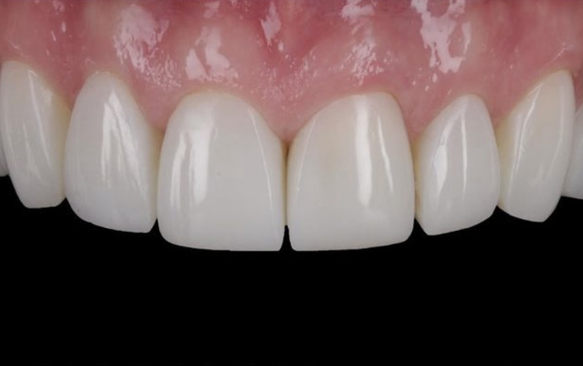
smile makeovers at midsummer dental – bespoke, beautiful dentistry brought to the heart of the fens.

if you are looking for a full smile makeover, then our elite treatment package which combines teeth straightening, teeth whitening and composite bonding or porcelain veneers are what you need.

the treatment journey

align

first, we will straighten your teeth with the invisalign clear aligner system. this stage of the process takes between 3-6 months, re-aligning your teeth so they look straighter.

brighten

for the second stage, we will whiten your teeth. teeth whitening is the easiest and most effective way of improving the way your smile looks. you will wear our whitening gel in trays made especially for your teeth, for 2-3 weeks, slowly brightening your teeth. we have 2 whitening systems for you to choose from, and your dentist can discuss which one is best for you. both systems are one of the best in the dental professional whitening industry and can help you achieve exactly the level of whiteness that you would like.

bond

finally, we bond to the teeth. bonding involves applying tooth-coloured filling material, known as composite, to the surface of the teeth to alter the overall shape, size, and colour of the tooth. it can make them look more uniform in shape and repair imperfections such as worn edges, chips, or stains. the composite can be placed over the whole front surface of the tooth, in the form of a veneer, or just on the edges, known as edge bonding. this process does not involve drilling or injections and can be done in a single visit.

veneers

if you need or want something a bit stronger than composite bonding, we can place veneers on the teeth – they are laboratory-constructed extremely thin shells of porcelain that are applied to the front of your teeth to alter the shape, colour, and appearance of them. they can also be used to correct minor discrepancies in the position of teeth. they will usually require some minor drilling of the tooth structure to make space for the porcelain veneer to be attached, which is done at the first visit, followed by a second visit to attach the veneers to the tooth.

frequently asked questions

do i have to have invisalign before having composite bonding?

not always – composite bonding can only correct minor discrepancies in the position of your teeth. if they are not straight enough or very misaligned, then to get the best results it is advisable to have invisalign first – the dentist can help you decide what you need.

should i have veneers or composite bonding? what’s the difference?

firstly, veneers are usually constructed from porcelain and made in a lab, then stuck onto your tooth. composite bonding is a tooth-coloured filling material directly applied to your tooth surface. as veneers are made from porcelain, they are stronger and will last 10-12 years if looked after well. in comparison, composite bonding tends to last 5-7 years after which it will need replacement to maintain its appearance. the best option for you will be advised by the dentist at your consult depending on the shape and colour of your teeth. veneers do cost more than composite bonding per tooth.

how will i know what they will look like after treatment?

the dentist can simulate how your teeth will look after taking a scan and show you how they can move with invisalign. with the bonding, the dentist will do a ‘trial smile’ first, so you can see how they are likely to look after treatment and you can decide together what exactly you want. bring a picture of a smile you like also helps because the dentist can help to recreate something similar for you!

do you offer finance?

yes, we do! we can help break down the cost of your treatment into affordable monthly payments, often interest-free, so you can afford the smile you want. just call and speak to our reception team.

how do i book in?

call the practice and the reception team who will be more than happy to book you in for a consultation with your dentist.

for more information regarding this treatment
contact us or call 01223 351 260
back to cosmetic dentistry

get in touch

testimonials

“Wonderful hygienist Remya Nair, I highly recommend. Also big thank you to dentist Winto and nurse Molly - I had a tooth filling and it… ”

kate nikitina

star 1

“I have seen both Aparna and Winto over the years. Both extremely kind and gentle with me when I come for my appointments. Both make… ”

laura amy

star 1

“I cannot express how grateful I am to this practice and how deeply satisfied I am with the work they've done so far. From the… ”

faye gentile

star 1

“I've been a patient here for a very long while. I cannot speak more highly of all the staff. I have new dentist - she's… ”

kate curry

star 1

“Had a filling and teeth clean today. Always very friendly and professional, the filling didn’t hurt at all and they matched my teeth colour very… ”

simon jones

star 1

“Thank you to Winto Lau and his dental nurse for the visits I have just had…. You were both professional and friendly and talked me… ”

maggie fenton

star 1
view all testimonials
mob-bg-thumb

additional treatments

freeperk thumb

hygienist available

freeperk thumb

implants offered

freeperk-thumb3

teeth whitening offered

freeperk thumb

Invisalign offered

freeperk thumb

hygienist available

freeperk thumb

implants offered

freeperk-thumb3

teeth whitening offered

freeperk thumb

Invisalign offered

contact us book online
Google Rating
4.7