join our practice plan contact us book online
01223 351 260 Book Online join our practice plan contact us

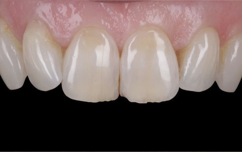
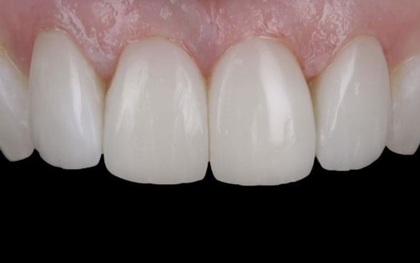
teeth whitening is one of the easiest and most effective ways you can improve your natural smile. it is quick and safe.

tooth whitening in midsummer dental is one of our most popular treatments and we guarantee results.

teeth are whitened by the use of a gel concentrate placed in trays worn over your teeth, usually every night, over the period of 2-3 weeks. the gel acts on the tooth surface, removing surface staining and blemishes, and also working internally within the tooth itself, to brighten their shade overall.

at midsummer dental we can our patients offer 2 whitening systems:

1. boutique whitening – a professional home-whitening system that will brighten your teeth steadily and reliably by at least 3 shades on industry recommended shade guides. it requires the use of custom-made mouth trays and whitening gel worn every night, or for about 6 hours in the day, for a period of 2-3 weeks.

2. enlighten – is our most premium whitening system which guarantees the teeth will brighten to the highest shade on the industry recommended shade guide, and it had an in-built desensitizer. the whitening gels are first used for about 2 weeks at home, followed by an in-chair enhanced whitening session to boost their colour.

ask your dentist today about teeth whitening and how it could change your smile!

frequently asked questions

can i have tooth whitening even if i have fillings, or a crown, on my front teeth?

the whitening gel will only whiten natural teeth. if you do have a filling or crown on a front tooth, it may need to be replaced after treatment to match the new colour of your teeth. your dentist can discuss this with you at the consult appointment.

is this available on the NHS?

no, as it is classified as a cosmetic treatment, it is not available on the NHS.

how long does it last?

it can last for as long as you want it to if you maintain regular top-up treatments. you will keep the trays that have been made just for you even after treatment and we recommend that you purchase some gel from your dentist, and wear it in the trays 1-2 times a year to help them maintain their brightness indefinitely.

is it safe?

yes – but only if you have it done at the dentist. shop-bought kits are usually too weak to whiten teeth much, and if you decide to buy any whitening gel over the internet, then its very likely its not legally marked as safe for use. it may contain chemicals that will damage your teeth.

are there any side effects?

some patients suffer from sensitivity while whitening their teeth. we can offer de-sensitising treatments to reduce this, and it stops after you have completed your whitening. we also recommend using sensitive toothpaste alongside your treatment.

for more information regarding this treatment
contact us or call 01223 351 260
back to cosmetic dentistry

get in touch

testimonials

“Wonderful hygienist Remya Nair, I highly recommend. Also big thank you to dentist Winto and nurse Molly - I had a tooth filling and it… ”

kate nikitina

star 1

“I have seen both Aparna and Winto over the years. Both extremely kind and gentle with me when I come for my appointments. Both make… ”

laura amy

star 1

“I cannot express how grateful I am to this practice and how deeply satisfied I am with the work they've done so far. From the… ”

faye gentile

star 1

“I've been a patient here for a very long while. I cannot speak more highly of all the staff. I have new dentist - she's… ”

kate curry

star 1

“Had a filling and teeth clean today. Always very friendly and professional, the filling didn’t hurt at all and they matched my teeth colour very… ”

simon jones

star 1

“Thank you to Winto Lau and his dental nurse for the visits I have just had…. You were both professional and friendly and talked me… ”

maggie fenton

star 1
view all testimonials
mob-bg-thumb

additional treatments

freeperk thumb

hygienist available

freeperk thumb

implants offered

freeperk-thumb3

teeth whitening offered

freeperk thumb

Invisalign offered

freeperk thumb

hygienist available

freeperk thumb

implants offered

freeperk-thumb3

teeth whitening offered

freeperk thumb

Invisalign offered

contact us book online
Google Rating
4.7